网站首页 Home page

医院介绍 Hospital introduction

专家团队 Expert team

权威技术 Authoritative technical

全城公益 City commonweal

免费电话 Free call

来院路线 Route-hospital

什么是过敏性鼻炎? 西安新城中大耳鼻喉医院

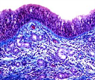
过敏性鼻炎即变应性鼻炎,是指特应性个体接触变应原后,主要由IgE介导的介质(主要是组胺)释放,并有多种免疫活性细胞和细胞因子等参与的鼻黏膜非感染性炎性疾病。其发生的必要条件有3个:特异性抗原即引起机体免疫反应的物质;特应性个体即所谓个体差异、过敏体质;特异性抗原与特应型个体二者相遇。变应性鼻炎是一个全球性健康问题,可导致许多疾病和劳动力丧失。

点击咨询
过敏性鼻炎有哪些症状
过敏性鼻炎的主要发病病因
点击咨询
过敏性鼻炎如何诊断?
中大先进设备

确诊率高 避免误诊、漏诊

视野开阔 细察毛细血管之微,环视整个鼻腔概况,伸缩自如

痛苦少 不会刺激鼻腔产生痛苦

高清晰度 病灶在高分辨率镜头下无所盾形

确诊率高 检查全面

治疗作用 内窥镜下鼻部微创手术

安全度高 镜身柔软,对鼻腔损伤小

德国STORZ鼻内窥镜检查费用多少?
一定要注意 西安新城中大耳鼻喉医院 点击了解更多
返回顶部

网站首页 Home page

医院介绍 Hospital introduction

专家团队 Expert team

权威技术 Authoritative technical

全城公益 City commonweal

免费电话 Free call

来院路线 Route-hospital

医院地址:西安市新城区北新街3号(革命公园往西200米)

电话:029-8740-1000    西安新城中大耳鼻喉医院    

版权所有: :西安新城中大耳鼻喉医院 

注:本网站信息仅供参考,不能作为诊疗及医疗依据,就医请遵照医生诊断。

医保使用说明